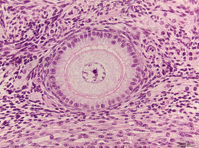
7月18日,中国解剖学会组胚分会首届“形态与艺术”显微摄影比赛、首届中国医学本科生组织胚胎学教学模型设计大赛在遵义医科大学举行。我校篮球即时比分 崔林老师指导的临床医学2020级傅雅楠、黄诗远同学参赛作品《金刚鹦鹉眼—初级卵泡》荣获显微摄影比赛特等奖、《中肠旋转形成模型》荣获模型设计大赛二等奖。

特等奖作品《金刚鹦鹉眼—初级卵泡》通过镜头捕捉到了初级卵泡细胞微观世界的细节,作品通过色彩和构图的运用,不仅直观的呈现了复杂有序的初级卵泡的组织胚胎学结构,也展示了学生对于美术和摄影的深度理解。作品立意新颖、视角独特、构图巧妙、画面清晰,富有想象力与创造性,赢得了评委的一致好评。模型设计作品《中肠旋转形成模型》是模拟中肠袢在胚胎发育第6周至第10周中的过程制作的模型,将书本上二维过程示意图转换为三维模型,解决了在组胚肠发生教学中的难点,该模型立意新颖,制作精美,团队在大赛现场与安徽华亿集团达成了创新产品合作意向,并准备申请专利。

近年来,篮球即时比分 不断加强本科生专业技能培养,注重本科生综合能力的培养与提升,鼓励学生积极参加学科专业竞赛等各类竞赛。为此,篮球即时比分 组织了包括社会实践类、科研创新类、文化艺术类等多种的第二课堂专业实践活动,同时配备专业课老师利用课余时间悉心指导。
通讯员:崔林、伊丽莎、国慧